Friday, September 29, 2017

Week 25

Another week in braces have gone by. It sure doesn't feel that long that I've had them on, but in about a week's time, it'd be half a year in braces for me. Time sure flies regardless whether you're having fun or not. Or maybe I'm just getting older and getting more pedantic, who knows? But anyway, in the blink of an eye, and I've had these suckers on for just about half a year. In a way, that's not a long time, but it's definitely not a short amount of time either. And it shows in my teeth, the amount of changes that had happened already.
My bite continues to change, and it's really strange to wake up each day to discover what my bite is going to feel like for the day. A little weird, but not anything that I'd complain about. All part of the braces journey. At least there's not a moment of dullness there. Nothing quite like waking up in the morning to realize that your bite feels different from before you closed your eyes the night before. But again, all part of the braces journey, and when teeth move, bite change. Especially when correcting your bite is part of the deal. Still, strange. Sometimes my mouth feels weird because of the bite...I imagine my jaw and mouth are now having to adjust to the new bite, causing the weird feeling in my mouth.

I've not noticed any teeth changes other than my bite. The gap between the right lateral incisor and canine on my bottom arch is still there, and it doesn't seem to be closing, even with the powerchain on. The one on the bottom left did, but not the right. I'm due for an appointment on Oct 11 anyway, so maybe I'll get a wire upgrade, and possibly stronger powerchain to close the gap. But other than that, bite changing appear to be the main thing that we're working on right now.

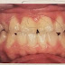
Week 25. The top arch really is being pulled forward by the elastics, and my open bite has, for the most part, been resolved, also by elastics.

1 comment:

  1. Hello! I saw your post about your blog on the Archwired forum and just got through reading the entire thing from day one. You have already had a huge improvement -- wow! I have the same kind of braces as you and am only five weeks since getting them on, so it was super interesting to read your blog and see some of the things I have in store going forward: namely, elastics, power chains, and so forth. I have an open bite, midline is off, crowding and crooked teeth, and overjet so quite a few things to correct. Five weeks in, they haven't been working on bite yet as I don't have elastics and only light wires, but I have seen a small amount of tooth movement. I am mostly wearing braces to improve my bite, but straight teeth will be a nice side effect! I had braces as a pre-teen but did not wear my retainer religiously so have lost some of the straightening I got then. Anyway, I will be following your progress and wish you all the best. I think your teeth already look amazing and am surprised how much longer you have to go. My ortho said 8-14 months total, but I expect it to be at the longer end, as very few folks seem to get them off early, and I am a lot older than the average patient at 56, so my teeth move very slooooooowly compared to a younger person.

    ReplyDelete

Life after braces